Öz
Amaç: Bu çalışmanın amacı, Gamma Knife radyocerrahisinin (GKRC) pediyatrik intrakraniyal neoplastik lezyonların tedavisindeki etkinliğini ve güvenliğini değerlendirmektir.
Yöntem: 2015–2025 yılları arasında Pamukkale Üniversitesi Tıp Fakültesi Nöroşirurji Anabilim Dalı’nda Gamma Knife radyocerrahisi uygulanan 25 pediyatrik hasta retrospektif olarak incelenmiştir. Takip süresi 6 aydan kısa olan, erken dönemde eksitus olan veya düzenli takibi yapılamayan olgular dışlanmış ve nihai analiz 14 hasta üzerinden gerçekleştirilmiştir. Hastaların demografik verileri, patolojik tanıları, lezyon yerleşimleri, uygulanan dozlar ve takip süreleri değerlendirilmiştir.
Bulgular: Çalışmaya dahil edilen 14 hastanın yaş ortalaması 12,4 ± 3,4 yıl olup, %64,3’ü kız, %35,7’si erkektir. Uygulanan radyasyon dozları 6 –20 Gy (ortalama: 13,2 ± 4,4 Gy) arasında olup, ortalama takip süresi ise 41,6 ± 36,1 ay olarak hesaplanmıştır. Patolojik olarak en sık görülen lezyonlar gliyal tümörlerdir. Genel tedavi yanıtları incelendiğinde, 6 hastada (%42,8) lezyon boyutlarında küçülme, 3 hastada (%21,4) lezyonun tamamen kaybolduğu, 3 hastada (%21,4) stabil seyir ve 2 hastada (%14,4) lezyon boyutlarında artış gözlenmiştir.
Sonuçlar: Bu bulgular, Gamma Knife radyocerrahisinin cerrahiye uygun olmayan, derin yerleşimli veya rekürren intrakraniyal lezyonlarda pediyatrik hasta grubunda etkili ve güvenli bir tedavi seçeneği olabileceğini düşündürmektedir. Ancak örneklem sayısının sınırlı olması ve hasta grubunun heterojen yapısı nedeniyle sonuçların dikkatli yorumlanması gerekmektedir. Daha geniş ve homojen serilerle yapılacak çalışmalar, yöntemin etkinliğini daha net ortaya koyacaktır.
Anahtar Kelimeler: pediyatrik beyin tümörleri, stereotaktik radyocerrahi, pediyatrik nöroonkoloji
Giriş
Beyin kitleleri, çocukluk çağında en sık görülen solid tümörler olup insidansı 1,15–5,14/100.000 arasında değişmektedir.1-4 Bu tümörler, çocukluk çağında en sık 4. ölüm sebebidir ve tedavide genellikle mikrocerrahi, kemoterapi ve radyoterapiyi içeren multidisipliner bir yaklaşım benimsenmektedir. Bu yöntemlerin her biri gelişmekte olan çocuk organizmasında belirli yan etki riskleri taşımaktadır.3,5 Ancak cerrahiye uygun olmayan, derin yerleşimli ya da çok sayıda lezyon içeren olgularda biyopsi sonrası veya tam eksizyonun sağlanamadığı durumlarda Gamma Knife radyocerrahi (GKRC), tedavi algoritmalarına entegre edilmektedir.6-9
GKRC, intrakraniyal lezyonların tedavisinde kullanılan stereotaktik bir radyoterapi yöntemidir. Üç boyutlu lokalizasyon sistemleri sayesinde yalnızca hedef dokuya yüksek doz gamma ışını uygulanmasına olanak tanıyarak çevre sağlıklı dokuların korunmasına yardımcı olur ve konvansiyonel radyoterapiye kıyasla radyasyona bağlı radyotoksisite riski azdır.4,10-12 Pediyatrik hastalarda Gamma Knife uygulaması, yaşa bağlı anatomik ve fizyolojik farklılıklar nedeniyle daha dikkatli planlama gerektirir. Özellikle 2 yaş altındaki çocuklarda stereotaktik çerçevenin sabitlenmesi güçleşirken, 3 yaş altı olgularda gelişmekte olan beyin dokusunun radyasyona duyarlılığı da ek özen gerektirir. Ayrıca bazı çocuklarda işlem sırasında anestezi ihtiyacı doğabilmektedir. Tüm bu nedenlerle GKRC, çocuk hastalarda erişkinlere kıyasla daha dikkatli ve multidisipliner bir yaklaşımla uygulanmalıdır. Bu çalışmada, çocuk hastalarda Gamma Knife radyocerrahisi ile tedavi edilen neoplastik intrakraniyal lezyonların klinik özellikleri retrospektif olarak değerlendirilmiştir.
Gereç Yöntem
Bu çalışmaya, Pamukkale Üniversitesi Tıbbi Araştırmalar Etik Kurulu’nun izni doğrultusunda başlanmıştır (Sayı: E-60116787-020-776633). Pamukkale Üniversitesi Tıp Fakültesi Nöroşirurji Anabilim Dalı’nda, 2015–2025 yılları arasında beyin tümörü tanısıyla Gamma Knife radyocerrahisi uygulanan 18 yaş altı toplam 25 hastanın tıbbi kayıtları retrospektif olarak incelenmiştir.
Çalışmaya dahil edilme kriteri olarak, işlem sonrası en az 6 aylık klinik ve radyolojik takip verisine sahip olma şartı aranmıştır. Bu kapsamda, takip süresi 6 aydan kısa olan bir hasta, işlem sonrası 6 aylık süre içinde vefat eden üç hasta ve teknik nedenlerle düzenli takibi yapılamayan yedi hasta çalışma dışı bırakılmıştır. Nihai analiz, bu kriterleri karşılayan 14 hasta üzerinden gerçekleştirilmiştir. Birden fazla Gamma Knife uygulaması yapılan hastalarda ise ilk tedaviden itibaren klinik ve radyolojik takip verileri analiz kapsamına alınmıştır.
Bu çalışma tanımlayıcı (deskriptif) nitelikte olup, istatistiksel analizler ağırlıklı olarak tanımlayıcı istatistikler (ortalama, standart sapma, minimum–maksimum değerler ve yüzdeler) kullanılarak gerçekleştirilmiştir.
Tüm hastalardan bilgilendirilmiş onam formu alınmıştır. Hastaların demografik özellikleri (yaş ve cinsiyet), patolojik tanıları, radyolojik görüntülemeleri ve uygulanan radyocerrahi dozları detaylı olarak incelenmiştir.
İşlem öncesinde, hastalara kontrast madde verilerek T1 ağırlıklı, ince kesitli manyetik rezonans görüntüleme (MRG) gerçekleştirildi. Ardından, hastanın yaşına uygun anestezi protokolü (1 genel anestezi, 1 sedasyon, 12 lokal anestezi) eşliğinde stereotaktik çerçeve kafatasına sabitlendi ve gerekli ölçümler yapıldı (Şekil 1). Bu işlemi takiben bilgisayarlı Beyin tomografisi (BBT) çekildi. Elde edilen MRG ve BBT verileri bilgisayar ortamında birleştirilerek, tedavi planlama yazılımı aracılığıyla lezyona özgü radyasyon dozu belirlenerek uygun tedavi planı oluşturuldu (Leksell Gamma Knife® Perfexion™, Elekta). GKRC uygulamasının tamamlanmasının ardından çerçeve çıkarıldı ve hastalar yaklaşık 1 saat klinik gözlem altında tutuldu. Herhangi bir komplikasyon ya da ek semptom gelişmeyen olgular, aynı gün taburcu edildi.
Hacmi büyük ve kritik anatomik yapılara komşu lezyonlarda, radyasyon güvenliğini artırmak amacıyla hacimsel evreleme (volume staging) yaklaşımı tercih edilmiştir. Bu yöntemde hedef hacim alt bölümlere ayrılarak farklı seanslarda tedavi uygulanmış ve her seans stereotaktik çerçeve ile yeniden planlanarak gerçekleştirilmiştir.
Bulgular
Bu çalışmaya dahil edilen toplam 14 hastanın 9’u kız (%64,3), 5’i ise erkek (%35,7) idi. Hastaların yaş ortalaması 12,4 ± 3,4 yıl (6–17 yıl) olarak belirlendi. Uygulanan dozlar 6 – 20 Gy (13,2 ± 4.4 Gy) olarak hesaplandı. Ortalama takip süresi ise 41,6 ± 36,1 ay (7 – 96 ay) idi.
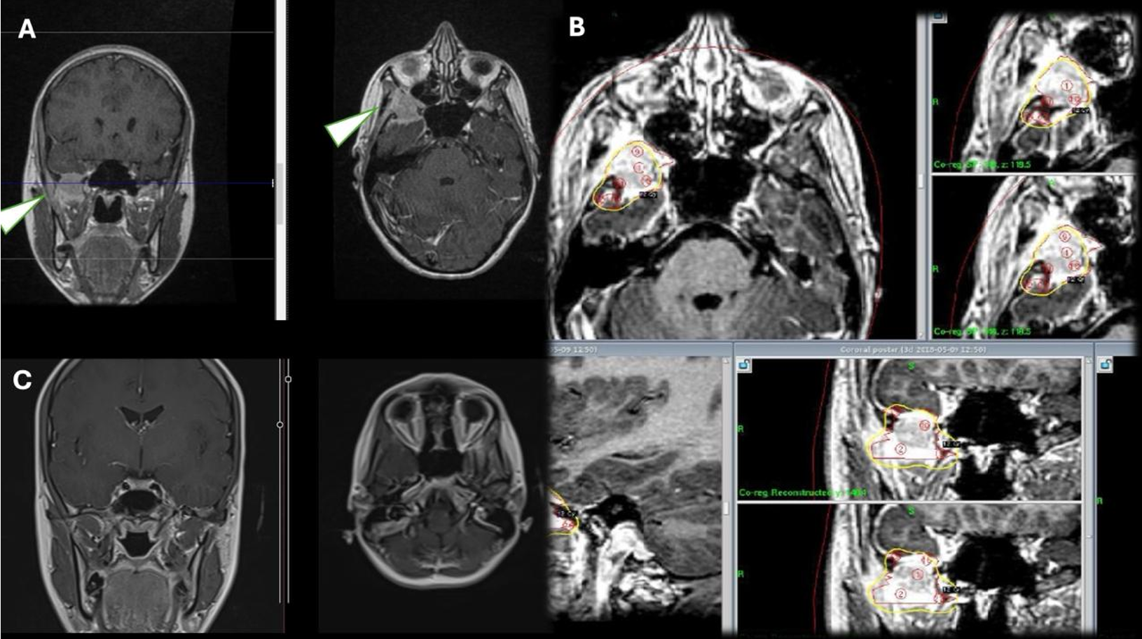
Patolojik tanılara göre değerlendirildiğinde en sık karşılaşılan tümör grubu gliyal tümörler olup, dört hastada saptanmıştır. Bu hastaların ilki 15 yaşındaki kız hasta patoloji sonucu DSÖ derece 3 gliyal kitle olarak raporlanmıştır. Cerrahi sonrası dönemde rezidü kitlesine yönelik lezyon için Karnofsky skoru düşük olması nedeniyle radyoterapi (RT) uygun görülmedi ve hastaya GKRC yapıldı. 5. ay kontrol görüntülemesinde lezyon boyutlarında artış olması ve Karnofsky skoru düzelen hastaya RT yapıldı. Hasta RT’den 2 ay sonra vefat etti. İkinci hasta 15 yaş kız hasta olup patolojisi yüksek dereceli gliyal kitle olarak sonuçlanmış. Karnofsky skoru düşük olduğu için hastaya RT yapılamadı ve GKRC planlandı. 7. ay kontrol görüntülemesinde progresyon izlenen hastanın Karnofsky skor düşüklüğü olması nedeniyle RT planlanmadı ve tekrar GKRC uygulandı. Hasta ilk GKRC tedavisinin 8. ayında vefat etti (Şekil 2). Diğer iki olgudan biri olan 17 yaşındaki kız hastada beyin sapı yerleşimli pilositik astrositoma (DSÖ Derece 1) yönelik hacim bölünerek 18 aylık süreçte 5 farklı seansta ve her tedavide stereotaktik çerçeve yeniden uygulanarak GKRC gerçekleştirildi. 96 ay sonunda lezyonda küçülme izlendi. Bu olguda lezyonun hacmi ve beyin sapı yerleşimi nedeniyle kritik nörovasküler yapılara yakınlığı göz önünde bulundurularak hacimsel evreleme uygulanmış, hedef hacim alt bölümlere ayrılarak farklı marjinal dozlar her bir alt hacme ayrı ayrı planlanmış ve belirli zaman aralıklarıyla uygulanmıştır. 11 yaşındaki erkek hastada ise tektal yerleşimli Diffüz Astrositomun (DSÖ Derece 2) tedavi sonrasındaki 96 aylık takibinde stabil seyrettiği görüldü. Patolojilere göre marjinal doz, takip süreleri ve sonuçlar Tablo 1’de özetlenmiştir.
| Tablo 1. Gamma Knife Radyocerrahi uygulanan hastaların özellikleri | ||||||
|
|
|
|
|
|
|
|
|
|
|
|
|
|
|
|
|
|
|
|
|
|
|
|
|
|
|
|
|
|
|
|
|
|
|
|
|
|
|
|
|
|
|
|
|
|
|
|
|
|
|
|
|
|
|
|
|
|
|
|
|
|
|
|
|
|
|
|
|
|
|
|
|
|
|
|
|
|
|
|
|
|
|
|
|
|
|
|
|
|
|
|
|
|
|
|
|
|
|
|
|
|
|
|
|
|
|
|
|
|
|
|
|
|
|
|
|
|
|
|
Meningiom saptanan üç hastanın ilki 14 yaşında Nörofibromatozis Tip 2 (NF – 2) tanısı olan erkek hastanın kavernöz sinüs yerleşimli kitlesine GKRC uygulanmış olup 11 aylık takibinde lezyon stabil kalmıştır. İkinci hasta olan 8 yaşında kız hastanın kavernöz sinüs yerleşimli cerrahi sonrası rezidü olan kitlesine (Psammomatöz meningiom (DSÖ Derece 1)) yönelik GKRC uygulandı ve 12 aylık takipte lezyonun küçüldüğü gözlenmiştir. Üçüncü hasta olan 17 yaşındaki kız hastanın orta fossa anteriyor kesiminde yerleşen meningioma 12 Gy dozunda tedavi uygulandı (Şekil 3). 48 aylık takipte lezyon izlenmedi.
Kraniofarengiom tanılı iki erkek hastadan ilki 7 yaşında olup cerrahi patolojisi adamantinamatöz kraniofarengiom olarak sonuçlanmıştır. Önce transkraniyal, 4 ay sonra transsfenoidal yolla cerrahi yapılan hastaya ilk ameliyatının 6. ayında rezidü kitle nedeniyle GKRC uygulandı. 9. ayında kitlenin kistik komponenti için cerrahi yapılan hastanın 12 aylık takibi sonucunda kitlenin kaybolduğu görüldü. Diğeri hasta ise 6 yaşında olup transsfenoidal yolla 2 kez ameliyat edilmiş ve rezidü kitlesine yönelik hacim bölünerek 2 seans GKRC yapıldı (Şekil 4). 37 aylık takipte kitlenin kaybolduğu tespit edilmiştir.
8 yaşında iken cerrahi tedavi yapılan ve patolojisi medulloblastom klasik tip derece 4 olarak raporlanan erkek hastaya cerrahi sonrasında RT uygulanmış, 5 yıl sonraki kontrollerinde nüks olması nedeniyle nodüler lezyonlarına yönelik GKRC planlanmıştır. 18 aylık izlemde lezyon boyutlarında belirgin küçülme izlenmiştir. Bu hasta tedavinin 2. yılında pnömoni nedeniyle vefat etmiştir.
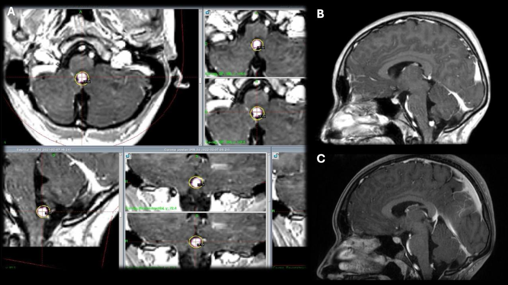
11 yaşındaki bir kız hastada hipotalamik hamartom 16 aylık takipte küçülme göstermiştir. İşlem öncesinde günde 20 defa jelastik tipte nöbeti olan hastanın takiplerinde nöbet sayısının 8’e düştüğü görülmüştür (Şekil 5). Von Hippel Lindau sendromu tanısı olan 14 yaşındaki kız hastanın 4.ventrikül çıkışında yerleşmiş hemanjiyoblastomu nedeniyle GKRC yapılmış olup 42 aylık takibinde tümör boyutlarında küçülme gözlenmiştir (Şekil 6). Lateral ventrikül yerleşimli koroid pleksus papillomu olan 13 yaş kız hastada 96 aylık takipte lezyon boyutlarında anlamlı küçülme kaydedilmiştir. Orbita yerleşimli rabdomyosarkom tanısı alan 13 yaşındaki kız hastada ise 84 ay süren takipler boyunca lezyonun stabil kaldığı görülmüştür.
Bu çalışmaya dahil edilen 14 hastanın tedavi yanıtları değerlendirildiğinde, 6 hastada (%42,8) lezyon boyutlarında küçülme, 3 hastada (%21,4) lezyonun tamamen kaybolduğu, 3 hastada (%21,4) stabil seyir ve 2 hastada (%14,4) lezyon boyutlarında artış gözlenmiştir.
Tartışma
GKRC, pediyatrik beyin tümörlerinin ve vasküler malformasyonların tedavisinde giderek artan şekilde tercih edilen, hedefe yönelik bir radyocerrahi yöntemdir. Arteriyovenöz malformasyonlar (AVM), kavernom, metastaz, kraniofarengiom, schwannom, meningiom, hipofiz adenomları, ependimom, astrositom, gliyal tümörler, medulloblastom, hipotalamik hamartom, koroid pleksus papillomu, atipik teratoid / rabdoid tümör (AT/RT) gibi lezyonların tedavisinde tercih edilmektedir.4-7,9,13-24 Uygulanan dozlar genellikle 10 –16 Gy aralığında yoğunlaşmakta olup, lezyonun histolojik alt tipi, hacmi ve anatomik yerleşimi doz belirlemede belirleyici olmaktadır.13,23
Pediyatrik stereotaktik radyocerrahi (SRC) uygulamaları üzerine yapılan ilk kapsamlı metaanaliz en az beş pediyatrik olguya ait sonuç bildiren çalışmaları kapsayan bir sistematik derlemedir. Yaklaşık 400 beyin tümörü vakasında SRC’nin etkinliği değerlendirilmiştir. Bulgulara göre, lokal kontrol oranları iyi huylu tümörlerde (kraniyofarenjiyom ve pilositik astrositom) %89, kötü huylu tümörlerde (medulloblastom, ependimom ve yüksek dereceli gliyom) %71 olarak rapor edilmiştir. Çalışmada, SRC’nin çocukluk çağında tümör kontrolü açısından tatmin edici sonuçlar sunduğu belirtilmiş; bununla birlikte hasta veya tümöre ait özelliklerle tedavi başarısı arasında anlamlı bir ilişki saptanmamıştır.13
Gliyal Kitleler
Düşük dereceli gliyomlar, hipotalamik gliyomlar ve juvenil pilositik astrositomlar gibi iyi huylu pediyatrik beyin tümörlerinde GKRC, cerrahiye alternatif olarak etkili tümör kontrolü ve düşük morbidite oranlarıyla dikkat çekmektedir. Farklı olgu ve hasta serilerinde uygulanan marjinal dozlar genellikle 12-16 Gy aralığında olup, hem kısa vadede hızlı tümör regresyonu hem de uzun vadede progresyonsuz sağkalım sağlamıştır.7,13,17,20,21 24 hastayı içeren çalışmada ortanca tümör hacmi 2,4 cm³ olan ve cerrahi olarak çıkarılamayan ya da nüks eden gliyomlarda GKRC sonrası %71 oranında tümör hacminde küçülme, %21 oranında ise tam gerileme gözlenmiş; 144 aylık uzun dönem takipte progresyonsuz sağkalım oranı %83 olarak bildirilmiştir. Ayrıca, tümör progresyonunun yalnızca büyük hacimli lezyonlarla anlamlı ilişki göstermesi, GKRC’nin özellikle küçük hacimli lezyonlarda etkili olduğunu desteklemektedir.21 Ortalama 2,92 cm³ tümör hacmine sahip diğer düşük dereceli gliyal kitlelerde uygulanan 13,47 Gy ortalama doz ile genel lokal kontrol oranı %89’a ulaşırken, yüksek dereceli gliyal kitlelerde (3,05 cm³ hacim, 17,23 Gy ortalama doz) bu oran %71’de kalmıştır.13 Başka bir çalışmada ise 12 düşük dereceli gliyom olgusuna ortalama 15,2 Gy uygulanmış 2 hastada progresyon izlenmiş, 12 yüksek dereceli gliyomda ise ortalama doz 18,8 Gy, takiplerinde 6 hastada progresyon görülmüştür.23
Meningiom
Pediyatrik meningiom ve schwannom olgularında GKRC ve yüksek lokal kontrol oranları ve kabul edilebilir güvenlik profili ile dikkat çekmektedir. Samancı ve ark. çalışmasında, ortalama yaşı 14,4 olan 57 çocukta uygulanan GKRC sonrası, 78 intrakraniyal tümörün %85,9’unda stabilite veya regresyon sağlanmıştır.15 Ortalama yaşı 15,4 olan 26 pediyatrik hastaya ait 40 schwannom ve meningiom vakası değerlendirildiği çalışmada ortalama 12,8 Gy doz ile tedavi edilen tümörlerin tamamında 51 aylık takipte ya stabilite ya da boyut azalması gözlenmiştir. NF2 ile ilişkili olmayan olgularda tümör gerileme oranı %100 iken, NF2 ilişkili olgularda bu oran %68,9 olup aradaki fark istatistiksel olarak anlamlı bulunmuştur.9 Ortalama hacmi 2,6 cm³ olan 20 meningiomu içeren çalışmada ortalama 12,55 Gy marjinal doz uygulanmış ve 6 tümörde küçülme, 14’ünde stabilite izlenmiştir. Bu çalışmalar, çocukluk çağı meningiom ve schwannomlarda GKRC/SRV’nin özellikle cerrahiye uygun olmayan veya rekürren vakalarda yüksek etkinlik ve düşük komplikasyon riskiyle güçlü bir tedavi seçeneği sunduğunu ortaya koymaktadır.5,9,15
Kraniofarengiom
Eder ve ark.’nın çalışmasında, yaşları 7–15 arasında değişen 7 hastada ortalama 3,7 cm³ tümör hacmine, ortalama 10,4 Gy (8–12 Gy) marjinal doz uygulanmış; ortalama 33 aylık takipte 4 hastada belirgin küçülme gözlenmiş, 2 hastada klinik iyileşme sağlanmış ve hiçbir hastada endokrin ya da görsel kayıp izlenmemiştir.23 Murphy’nin analizine göre, altı çalışmanın meta-verilerine dayanarak kraniofarengiom hastalarında ortalama tümör hacmi 2,12 cm³ (0,65–3,7 cm³), ortalama SRC dozu 13,13 Gy (10,4–14,4 Gy) olup; hastaların %80,5’i daha önce cerrahi geçirmiş, %7,93’ü ise radyoterapi almıştır. Ortalama takip süresi 40,94 ay olup, lokal kontrol oranı %89 olarak bildirilmiştir.13 Ayrıca, 82 hastalık başka bir çalışmada GKRC ile konvansiyonel radyoterapi karşılaştırıldığında, her iki grupta benzer sağkalım ve lokal kontrol oranları elde edilmiş, ancak GKRC’nin bilişsel gerileme ve endokrin işlev bozukluğu açısından daha avantajlı olduğu belirlenmiştir.25 Bu bulgular, GKRC’nin pediyatrik kraniofarengiomlarda güvenli, etkili ve yaşam kalitesini koruyucu bir tedavi seçeneği olduğunu ortaya koymaktadır.
Medulloblastom
GKRC’nin rolünü değerlendiren literatür son derece sınırlı olmakla birlikte, mevcut veriler bu yaklaşımın nüks veya metastatik hastalıkta potansiyel bir tedavi seçeneği olabileceğini göstermektedir. Waugh ve ark., metastatik nüks medulloblastomalı üç pediyatrik hastada GKRC uygulamış; 20–25 Gy dozlarında ve tek seansta gerçekleştirilen tedavide yan etki bildirilmemiştir. Tüm hastalarda uzun süreli progresyonsuz sağkalım sağlanmıştır.18 Murphy’nin meta-analizinde ise yalnızca iki çalışmada pediyatrik medulloblastom verisi bulunduğu, toplamda 11 pediyatrik hasta yer aldığı ve ortalama uygulanan GKRC dozunun 14,5 Gy olduğu belirtilmiştir. Ortalama lokal kontrol oranı %73 olarak hesaplanmış, ancak lokal kontrol süreleri ve takip süreleri tutarlı biçimde bildirilememiştir.13
Hipotalamik Hamartom
Tripathi ve ark. çok merkezli retrospektif bir çalışmada, ortalama yaşı 16 olan 39 hastada hipotalamik hamartom nedeniyle GKRC sonrası elde edilen klinik, endokrinolojik ve radyolojik sonuçlar değerlendirilmiştir. Uygulanan doz ortalama 16 Gy olarak bildirilmiştir. Tedavi sonrası %28’inde lezyon hacminde azalma gözlenirken, %55,2’sinde Engel I/II düzeyinde anlamlı nöbet kontrolü sağlanmıştır. Bu bulgular, GKRC’nin özellikle küçük hipotalamik hamartomlarda etkili nöbet kontrolü sağladığını ve düşük yan etki profili ile güvenli bir tedavi alternatifi sunduğunu göstermektedir.14 3 pediyatrik hipotalamik hamartom hastasının yer aldığı başka çalışmada hastalara marjinal 12 Gy doz uygulanmış ve ortalama 42 aylık takipte, nöbet sıklığı ve şiddetinde belirgin azalma gözlenmiştir. Lezyon boyutlarında değişiklik izlenmemiştir.23
Hemanjiyoblastom
Literatür bilgisi oldukça sınırlı olmakla birlikte Eder ve ark. çalışmasında 2,9 cm³ hacmindeki lezyona 12 Gy marjinal doz uygulanmış, 48 aylık takipte tümör hacminde belirgin azalma sağlanmış ve tedaviye bağlı herhangi bir komplikasyon bildirilmemiştir.23
Koroid Pleksus Papillomu
Eder ve ark. çalışmalarında koroid pleksus papillomu (KPP) olan bir hastaya 12 Gy marjinal doz ile GKRC uygulamıştır. 33 aylık takipte hacminde azalma izlenmiş ve radyasyona bağlı komplikasyon rapor edilmemiştir.23 Bu bulgular, GKRC’nin KPP gibi nadir görülen pediyatrik intrakraniyal tümörlerde de etkili bir lokal kontrol sağlayabileceğini göstermektedir.
Bu çalışmanın bazı kısıtlılıkları bulunmaktadır. Öncelikle örneklem sayısının düşük olması ve tümör tiplerinin heterojen dağılım göstermesi, elde edilen sonuçların genellenebilirliğini sınırlamaktadır. Ayrıca başlangıçta değerlendirilen hasta sayısının bir kısmının takip yetersizliği veya erken dönem kayıp nedeniyle analiz dışı bırakılması, çalışma grubunun küçülmesine neden olmuştur. Çalışmanın retrospektif ve tek merkezli tasarımı ile istatistiksel analizlerin tanımlayıcı düzeyde kalması da diğer önemli sınırlılıklar arasındadır. Bu nedenle elde edilen bulguların daha geniş, homojen hasta gruplarında ve prospektif çalışmalarla desteklenmesi gerekmektedir.
Sonuç
Bu çalışma, Gamma Knife radyocerrahisinin pediyatrik intrakraniyal neoplastik lezyonların tedavisinde, özellikle cerrahiye uygun olmayan veya derin yerleşimli olgularda, güvenli ve etkili bir seçenek olabileceğini düşündürmektedir. Ancak örneklem sayısının sınırlı ve hasta grubunun heterojen olması nedeniyle bu bulguların dikkatli yorumlanması gerekmektedir. Daha geniş örneklemli ve prospektif çalışmalar, yöntemin etkinliği ve uzun dönem sonuçlarını daha net ortaya koyacaktır.
Etik kurul onayı
Bu çalışmaya, Pamukkale Üniversitesi Tıbbi Araştırmalar Etik Kurulu’nun izni doğrultusunda başlanmıştır (04.11.2025 tarih ve 20 sayılı kurul kararı. Sayı: E-60116787-020-776633)
Yazarlık katkısı
Çalışma konsepti ve tasarımı: RA, DŞ; veri toplama: RA, DŞ; sonuçların analizi ve yorumlanması: RA, DŞ; makaleyi hazırlama: RA, DŞ. Yazar(lar) sonuçları gözden geçirmiş ve makalenin son halini onaylamıştır.
Finansman
Yazar(lar), çalışmanın herhangi bir finansal destek almadığını beyan etmiştir.
Çıkar çatışması
Yazar(lar) herhangi bir çıkar çatışması olmadığını beyan etmiştir.
Ethical approval
This study has been approved by the Pamukkale University Non-Interventional Clinical Research Ethics Committee (approval date: 04.11.2025, number: E-60116787-020-776633). Written informed consent was obtained from the participants.
Source of funding
The authors declare the study received no funding.
Conflict of interest
The authors declare that there is no conflict of interest.
Kaynakça
- Johnson KJ, Cullen J, Barnholtz-Sloan JS, et al. Childhood brain tumor epidemiology: a brain tumor epidemiology consortium review. Cancer Epidemiol Biomarkers Prev 2014; 23: 2716-2736. https://doi.org/10.1158/1055-9965.EPI-14-0207
- Fleming AJ, Chi SN. Brain tumors in children. Curr Probl Pediatr Adolesc Health Care 2012; 42: 80-103. https://doi.org/10.1016/j.cppeds.2011.12.002
- Robertson PL. Advances in treatment of pediatric brain tumors. NeuroRx 2006; 3: 276-291. https://doi.org/10.1016/j.nurx.2006.01.001
- Börcek AÖ. Pediatrik beyin tümörlerinde gamma knife. Guven Med Health Sci. 2024;1:35-38.
- Mishra H, Pahwa B, Agrawal D, M Ch MS, M Ch SSK. Gamma knife radiosurgery as an efficacious treatment for paediatric central nervous system tumours: a retrospective study of 61 neoplasms. Childs Nerv Syst 2022; 38: 909-918. https://doi.org/10.1007/s00381-022-05463-1
- Shrivastava A, Mohammed N, Xu Z, et al. Outcomes after gamma knife stereotactic radiosurgery in pediatric patients with cushing disease or acromegaly: a multi-ınstitutional study. World Neurosurg 2019; 125: e1104-e1113. https://doi.org/10.1016/j.wneu.2019.01.252
- Liu JS, Foo D, Yeo TT, Ho KH, Nga VDW, Karlsson B. Twenty-three years follow-up after low-dose Gamma Knife surgery of a brainstem juvenile pilocytic astrocytoma: a case report and review of the literature. Childs Nerv Syst 2019; 35: 1227-1230. https://doi.org/10.1007/s00381-019-04147-7
- Ehret F, Mose L, Allwohn L, et al. Radiosurgery for pediatric central nervous system lesions - initial report and insights from a multicenter registry. Radiother Oncol 2025; 211: 110994. https://doi.org/10.1016/j.radonc.2025.110994
- Goyal-Honavar A, Srinivas D, Konar S, et al. Gamma knife radiosurgery in a cohort of neurofibromatosis type 2-associated and sporadic pediatric meningiomas and schwannomas. J Neurosurg Pediatr 2025; 36: 89-95. https://doi.org/10.3171/2025.1.PEDS24308
- Suh JH, Barnett GH. Stereotactic radiosurgery for brain tumors in pediatric patients. Technol Cancer Res Treat 2003; 2: 141-146. https://doi.org/10.1177/153303460300200210
- Hodgson DC, Goumnerova LC, Loeffler JS, et al. Radiosurgery in the management of pediatric brain tumors. Int J Radiat Oncol Biol Phys 2001; 50: 929-935. https://doi.org/10.1016/s0360-3016(01)01518-8
- Egemen E, Öcal Ö, Börcek AÖ, Gülbahar Ö, Akmansu M, Kaymaz FF, et al. İyonize radyasyon sonrası gelişen oksidatif beyin ve spinal kord hasarını iyileştirmede deksametazon ve melatoninin etkilerinin sıçan modelinde karşılaştırılması. Sinir Sistemi Cerrahisi Derg 2022;7(3):83-95. https://doi.org/10.54306/SSCD.2021.18189
- Murphy ES, Sahgal A, Regis J, et al. Pediatric cranial stereotactic radiosurgery: Meta-analysis and international stereotactic radiosurgery society practice guidelines. Neuro Oncol 2025; 27: 517-532. https://doi.org/10.1093/neuonc/noae204
- Tripathi M, Sheehan JP, Niranjan A, et al. Gamma knife radiosurgery for hypothalamic hamartoma: a multi-ınstitutional retrospective study on safety, efficacy, and complication profile. Neurosurgery 2025; 96: 426-437. https://doi.org/10.1227/neu.0000000000003110
- Samanci Y, Askeroglu MO, Nabeel AM, et al. Stereotactic Radiosurgery for Meningiomas in Children and Adolescents: An International Multi-Institutional Study. Neurosurgery 2023; 93: 1066-1074. https://doi.org/10.1227/neu.0000000000002543
- Wang E, Gutkin PM, Oh J, et al. Stereotactic radiosurgery for recurrent pediatric brain tumors: clinical outcomes and toxicity. Neurosurg Focus 2022; 53: E2. https://doi.org/10.3171/2022.8.FOCUS22361
- Jumah F, Abou-Al-Shaar H, Mallela AN, Wiley CA, Lunsford LD. Gamma knife radiosurgery in the management of hypothalamic glioma: A case report with long-term follow-up. Pediatr Neurosurg 2022; 57: 118-126. https://doi.org/10.1159/000521732
- King D, Connolly D, Zaki H, Lee V, Yeomanson D. Successful treatment of metastatic relapse of medulloblastoma in childhood with single session stereotactic radiosurgery: a report of 3 cases. J Pediatr Hematol Oncol 2014; 36: 301-304. https://doi.org/10.1097/MPH.0b013e3182830fd4
- Spina A, Gagliardi F, Boari N, Bailo M, Mortini P. Does stereotactic radiosurgery positively ımpact the local control of atypical teratoid rhabdoid tumors? World Neurosurg 2017; 104: 612-618. https://doi.org/10.1016/j.wneu.2017.04.132
- Ekşi MŞ, Yılmaz B, Akakın A, et al. Gamma knife treatment of low-grade gliomas in children. Childs Nerv Syst 2015; 31: 2015-2023. https://doi.org/10.1007/s00381-015-2819-y
- Weintraub D, Yen CP, Xu Z, Savage J, Williams B, Sheehan J. Gamma knife surgery of pediatric gliomas. J Neurosurg Pediatr 2012; 10: 471-477. https://doi.org/10.3171/2012.9.PEDS12257
- Kano H, Yang HC, Kondziolka D, et al. Stereotactic radiosurgery for pediatric recurrent intracranial ependymomas. J Neurosurg Pediatr 2010; 6: 417-423. https://doi.org/10.3171/2010.8.PEDS10252
- Eder HG, Leber KA, Eustacchio S, Pendl G. The role of gamma knife radiosurgery in children. Childs Nerv Syst 2001; 17: 341-6; discussion 347. https://doi.org/10.1007/s003810000435
- Yakar F, Egemen E, Dere ÜA, et al. The effectiveness of gamma knife radiosurgery for the management of residual high-grade gliomas: A single institutional study. J Clin Neurosci 2022; 95: 159-163. https://doi.org/10.1016/j.jocn.2021.12.015
- Jalali R, Ghosh S, Chatterjee A, et al. High-precision radiotherapy achieves excellent long-term control and preserves function in pediatric craniopharyngioma-Subset analysis of a randomized trial. Neuro Oncol 2025; 27(8): 2147-2157. https://doi.org/10.1093/neuonc/noaf049
Telif hakkı ve lisans
Telif hakkı © 2026 Yazar(lar). Açık erişimli bu makale, orijinal çalışmaya uygun şekilde atıfta bulunulması koşuluyla, herhangi bir ortamda veya formatta sınırsız kullanım, dağıtım ve çoğaltmaya izin veren Creative Commons Attribution License (CC BY) altında dağıtılmıştır.

