Öz
Amaç: Hipofiz adenomları, endokrin disfonksiyon ve kitle etkisine bağlı nörolojik bulgulara yol açabilen, sellar bölgenin en sık görülen tümörleridir. Cerrahi tedavi, özellikle endoskopik transsfenoidal yaklaşımın yaygınlaşmasıyla birlikte, bu lezyonların yönetiminde temel tedavi seçeneği olmaya devam etmektedir. Bu çalışmanın amacı, 2018-2025 yılları arasında hipofiz lezyonları nedeniyle cerrahi olarak tedavi edilen geniş bir hasta serisinde, endoskopik transsfenoidal cerrahinin klinik, patolojik ve postoperatif sonuçlarını değerlendirmek ve komplikasyon profillerini literatür verileri ile karşılaştırmaktır.
Gereç ve Yöntem: Çalışmaya 2018-2025 yılları arasında hipofiz lezyonu tanısı ile cerrahi tedavi uygulanan toplam 204 hasta dahil edildi. Tüm olgular retrospektif olarak değerlendirildi. Demografik veriler, patolojik tanılar, uygulanan cerrahi yaklaşımlar ve postoperatif komplikasyonlar analiz edildi. İstatistiksel analizler SPSS yazılımının güncel sürümü kullanılarak gerçekleştirildi.
Bulgular: Hastaların yaş ortalaması 47,3 ± 13,9 yıl olup, olguların %58,8’i kadın, %41,2’si erkekti. Patolojik değerlendirmede en sık saptanan tanı Cushing hastalığı (%20,1) idi; bunu non-fonksiyonel hipofiz adenomları (%19,6), FSH-LH sekresyonlu adenomlar (%16,7) ve akromegali (%14,2) izledi. Postoperatif dönemde 70 hastada (%34,3) geçici diabetes insipidus gelişirken, 4 hastada (%5,7) kalıcı desmopressin ihtiyacı saptandı. Rinore 30 hastada (%14,7) izlendi; bu olguların 22’si BOS fistülü nedeniyle reopere edildi. Rezidüel adenom saptanan 10 hastanın 4’üne ek endoskopik, 6’sına transkranyal cerrahi uygulandı. Postoperatif hematom 8 hastada (%3,9), epistaksis 4 hastada (%2), menenjit 5 hastada (%2,4) ve hidrosefali 2 hastada (%1) görüldü. Mortalitenin 1 hastada (%0,5) gerçekleştiği belirlendi.
Sonuç: Endoskopik transsfenoidal cerrahi, hipofiz lezyonlarının tedavisinde düşük mortalite ve kabul edilebilir komplikasyon oranları ile güvenli ve etkili bir yöntemdir. Seçilmiş olgularda ek cerrahi yaklaşımlar gerekebilmekle birlikte, deneyimli merkezlerde uygulandığında tatmin edici klinik sonuçlar sağlamaktadır.
Anahtar Kelimeler: hipofiz adenomu, endoskopik transsfenoidal cerrahi, postoperatif komplikasyonlar
Giriş
Hipofiz adenomları, sella tursika bölgesinin en sık görülen primer tümörleri olup tüm primer intrakraniyal tümörlerin yaklaşık %10-15’ini oluşturmaktadır.1-3 Histopatolojik olarak çoğunlukla benign karakterde olmalarına rağmen, hormon hipersekresyonu ya da normal hipofiz dokusunun baskılanmasına bağlı olarak ciddi endokrin bozukluklara yol açabilmektedirler. Ayrıca tümörün kitle etkisine bağlı olarak gelişen görme alanı defisitleri, baş ağrısı ve nadiren kraniyal sinir tutulumları gibi nörolojik semptomlar da klinik tabloya eşlik edebilmektedir.4
Semptomatik hipofiz adenomlarının tedavisinde cerrahi yaklaşım temel tedavi seçeneği olmaya devam etmektedir. Endoskopik tekniklerdeki ilerlemelere rağmen, belirgin lateral kavernöz sinüs invazyonu, geniş suprasellar uzanım veya kompleks anatomik yayılım gösteren lezyonlarda cerrahi rezeksiyon halen zorluklar içermektedir.5-7 Günümüzde endoskopik transsfenoidal cerrahi (ETSC), geniş görüş alanı sağlaması, nörovasküler yapıların daha iyi tanımlanabilmesi ve minimal invaziv doğası nedeniyle hipofiz adenomlarının cerrahi tedavisinde en yaygın ve standart yaklaşım olarak kabul edilmektedir.5
Bununla birlikte, ETSC sonrasında hipopituitarizm, diabetes insipidus, beyin omurilik sıvısı (BOS) kaçağına bağlı rinore, vasküler yaralanmalar ve menenjit gibi potansiyel olarak ciddi komplikasyonlar görülebilmektedir.3 Bu komplikasyonların insidansı, tümörün boyutu, suprasellar ve parasellar uzanımı, kavernöz sinüs invazyonu ve intraoperatif BOS kaçağının varlığı gibi faktörlerle yakından ilişkilidir.6
Gereç ve Yöntemler
Çalışma tasarımı ve hasta seçimi
Bu çalışma, retrospektif olarak planlanmıştır. Kliniğimizde 2018-2025 yılları arasında hipofiz lezyonu nedeniyle cerrahi tedavi uygulanan hastaların kayıtları incelenmiştir. Toplam 204 hasta çalışmaya dahil edilmiştir. Histopatolojik tanısı doğrulanmış hipofiz lezyonu bulunan ve cerrahi sonrası klinik verilerine eksiksiz ulaşılabilen hastalar çalışmaya alınmıştır. Eksik klinik verisi bulunan veya takip bilgileri yetersiz olan hastalar çalışma dışı bırakılmıştır.
Klinik ve demografik veriler
Hastaların demografik özellikleri (yaş, cinsiyet), preoperatif klinik bulguları, hormonal değerlendirmeleri ve radyolojik görüntüleme sonuçları hasta dosyaları ve elektronik kayıt sistemlerinden elde edilmiştir. Tüm hastalarda tanı sürecinde manyetik rezonans görüntüleme (MRG) kullanılmış, gerekli olgularda ek endokrinolojik incelemeler yapılmıştır.
Cerrahi teknik
Tüm hastalara endoskopik transsfenoidal cerrahi yaklaşım uygulanmıştır. Cerrahi işlemler, deneyimli bir nöroşirürji ekibi tarafından standart endoskopik teknikler kullanılarak gerçekleştirilmiştir. İntraoperatif BOS kaçağı saptanan veya yüksek riskli kabul edilen olgularda rekonstrüksiyon amacıyla yağ grefti, lomber drenaj veya kombine teknikler tercih edilmiştir. Rekonstrüksiyon yöntemi, intraoperatif bulgulara ve cerrahın değerlendirmesine göre belirlenmiştir.
Patolojik değerlendirme
Cerrahi sırasında çıkarılan tüm doku örnekleri histopatolojik incelemeye gönderilmiştir. Patolojik sınıflama, Dünya Sağlık Örgütü hipofiz tümörleri sınıflamasına uygun olarak yapılmıştır. Olgular fonksiyonel adenomlar, non-fonksiyonel adenomlar ve nadir hipofizer lezyonlar olarak gruplandırılmıştır.
Postoperatif takip ve komplikasyonların değerlendirilmesi
Hastalar postoperatif dönemde klinik, radyolojik ve endokrinolojik açıdan takip edilmiştir. Ortalama postoperatif takip süresi 36±18ay olup, dağılım 3-60 ay arasındadır. Diabetes insipidus, klinik bulgular ve laboratuvar parametreleri doğrultusunda tanımlanmış; desmopressin tedavisi gerektiren hastalar kaydedilmiştir. Desmopressin ihtiyacının üç aydan uzun sürmesi kalıcı diabetes insipidus olarak kabul edilmiştir. Rinore ve BOS fistülü, klinik bulgular ve görüntüleme yöntemleri ile değerlendirilmiş; cerrahi müdahale gerektiren olgular ayrıca kaydedilmiştir. Postoperatif hematom, epistaksis, menenjit, hidrosefali ve mortalite gibi komplikasyonlar hasta kayıtlarından retrospektif olarak analiz edilmiştir.
İstatistiksel analiz
İstatistiksel analizler SPSS (versiyon 29.0) sürümü kullanılarak yapılmıştır. Sürekli değişkenler ortalama ± standart sapma, kategorik değişkenler ise sayı ve yüzde (%) olarak ifade edilmiştir. Çalışmada tanımlayıcı istatistiksel yöntemler kullanılmıştır.
Bulgular
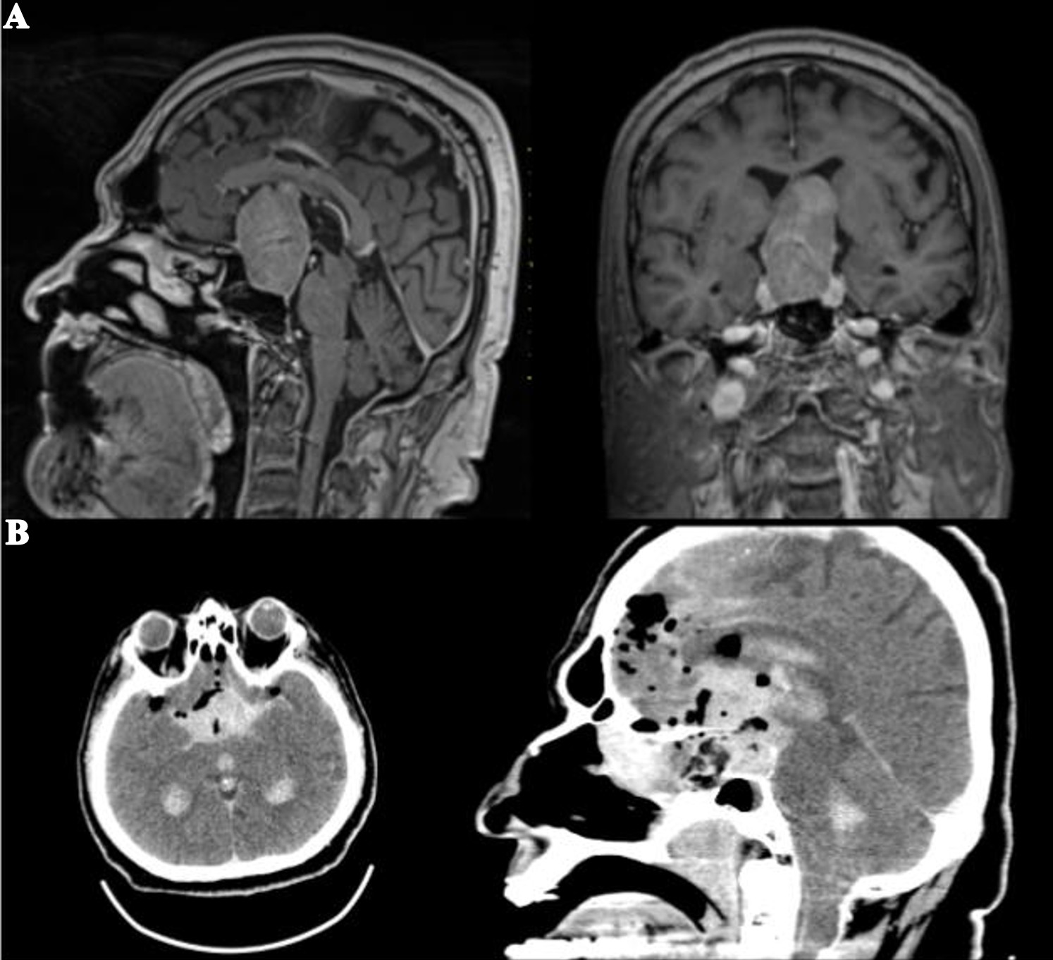
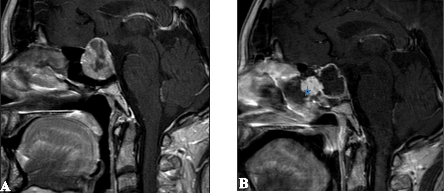
Bu çalışmaya toplam 204 hasta dahil edildi. Hastaların yaş ortalaması 47,3 ± 13,9 yıl olup, geniş bir yaş dağılımı mevcuttu. Olguların 120’si (%58,8) kadın, 84’ü (%41,2) erkekti. Patolojik değerlendirmede en sık saptanan tümör tipi Cushing hastalığı (%20,1) idi. Bunu sırasıyla non-fonksiyonel hipofiz adenomları (%19,6), FSH-LH sekresyonlu adenomlar (%16,7) ve akromegali (%14,2) izledi. Daha az sıklıkta izlenen patolojiler arasında izole hormon salgılayan adenomlar ve nadir hipofizer lezyonlar yer aldı. Postoperatif dönemde diabetes insipidus gelişmesi nedeniyle 70 hastada (%34,3) desmopressin tedavisi gerekli oldu. Bu hastaların 4’ünde (%5,7) uzun dönem takiplerinde desmopressin ihtiyacının devam etmesi nedeniyle kalıcı diabetes insipidus olarak tanımlanmıştır. Geçici diabetes insipidus, postoperatif erken dönemde sık gözlenen komplikasyonlardan biri olarak kaydedildi. Rinore, 30 hastada (%14,7) izlenmiş olup, bu olguların 22’si klinik ve radyolojik olarak BOS fistülü ile uyumlu bulunarak reoperasyona alındı. Reoperasyon sırasında uygulanan onarım yöntemleri heterojenlik göstermekteydi. Bu olguların 14’ünde yağ grefti ile birlikte lomber drenaj, 7’sinde yalnız yağ grefti, 3’ünde yalnız lomber drenaj kullanıldı (Şekil 1). Beş olguda herhangi bir greft veya drenaj uygulanmazken, bir olguda otojen kemik grefti tercih edildi. Rezidüel adenom saptanan hastaların tedavi yaklaşımları incelendiğinde, 4 hastaya ek endoskopik cerrahi, 6 hastaya ise transkranyal cerrahi uygulandığı görüldü. Bu hastalar, rezidüel lezyonun lokalizasyonu ve yayılım özelliklerine göre değerlendirilerek tedavi edildi. Postoperatif hematom, 8 hastada (%3,9) izlendi (Şekil 2). Bu olguların iki tanesinde vasküler yaralanma gelişmesi üzerine endovasküler tedavi uygulanması gerekti. Diğer postoperatif komplikasyonlar arasında epistaksis (n=4, %2), menenjit (n=5, %2,4) ve hidrosefali (n=2, %1) yer aldı. Tüm olgular değerlendirildiğinde mortalite oranı %0,5 olup, bir hasta postoperatif dönemde kaybedildi. Demografik özellikler, patolojik tanı dağılımı ve postoperatif komplikasyonlara ait bulgular Tablo 1’de özetlenmiştir.
| * Nadir lezyonlar: hipofizit, kordoma, metastaz, gangliositom, meningiom ve apopleksi ** Yüzde, diabetes insipidus gelişen hastalar üzerinden hesaplanmıştır |
|
| Tablo 1. Hastaların Demografik, Patolojik ve Klinik Özellikleri | |
| Özellik |
|
| Toplam hasta sayısı, n |
|
| Yaş, yıl (ortalama ± SS) |
|
| Cinsiyet, n (%) | |
| Kadın |
|
| Erkek |
|
| Patolojik Tanı, n (%) | |
| Cushing hastalığı |
|
| Non-fonksiyonel hipofiz adenomu |
|
| FSH–LH sekresyonlu adenom |
|
| Akromegali |
|
| Akromegali–PRL birlikteliği |
|
| Diğer hormon salgılayan adenomlar |
|
| Nadir hipofizer lezyonlar* |
|
| Postoperatif Komplikasyonlar, n (%) | |
| Diabetes insipidus |
|
| Kalıcı diabetes insipidus |
|
| Rinore |
|
| BOS fistülü nedeniyle reoperasyon |
|
| Postoperatif hematom |
|
| Epistaksis |
|
| Menenjit |
|
| Hidrosefali |
|
| Rezidüel adenom nedeniyle ek cerrahi | |
| Endoskopik |
|
| Transkranyal |
|
| Mortalite, n (%) |
|
Tartışma
Bu çalışmada, geniş bir hasta serisinde hipofiz lezyonlarının cerrahi tedavisine ait demografik özellikler, patolojik dağılım ve postoperatif komplikasyonlar ayrıntılı olarak değerlendirilmiştir. Hasta grubunun yaş ortalaması ve kadın/erkek oranı, endoskopik transsfenoidal hipofiz cerrahisi üzerine yayımlanmış büyük serilerle uyumlu bulunmuştur.3,8 Önceki çalışmalarda bildirilen 4.-5. dekatta pik yapan yaş dağılımı ve kadın baskınlığı, özellikle fonksiyonel adenomların daha sık görülmesiyle ilişkilendirilmiştir.
Patolojik dağılım açısından bakıldığında, çalışmamızda Cushing hastalığının en sık tanı olarak saptanması, literatürde non-fonksiyonel adenomların baskın olduğu serilerden farklılık göstermektedir. Büyük çok merkezli serilerde non-fonksiyonel adenom oranları genellikle %30-50 arasında bildirilirken, Cushing hastalığı oranları %10-20 civarındadır.1,2,9,10 Çalışmamızda fonksiyonel adenom oranının yüksek olması, merkezimizin özellikle endokrinolojik olarak aktif lezyonlar için referans merkezi olmasına ve hasta yönlendirme paternlerine bağlı olabilir. FSH-LH sekresyonlu adenomların ve akromegali olgularının anlamlı bir oran oluşturması da bu durumu desteklemektedir.
Postoperatif diabetes insipidus oranı literatürde geniş bir aralıkta (%10-40) bildirilmektedir.11-16 Çalışmamızda gözlenen %34,3’lük oran, özellikle fonksiyonel adenomların ve suprasellar uzanımlı lezyonların dahil edildiği serilerle uyumludur. Kalıcı diabetes insipidus oranının düşük bulunması (%5,7), daha önce endoskopik transsfenoidal cerrahi sonrası bildirilen %2-10 aralığındaki oranlarla paralellik göstermektedir. Bu bulgu, cerrahi manipülasyonun posterior hipofiz üzerindeki kalıcı etkisinin sınırlı olduğunu düşündürmektedir.
BOS fistülü ile ilişkili rinore, hipofiz cerrahisinin en önemli postoperatif komplikasyonlarından biri olmaya devam etmektedir. Literatürde rinore oranları %5-20 arasında değişmekte olup, özellikle büyük tümörler ve intraoperatif BOS kaçağı varlığı ile ilişkilidir.6,17-20 Çalışmamızda rinore oranı %14,7 olarak saptanmış ve olguların çoğunda reoperasyon gerekmiştir. Önceki çalışmalar, yağ grefti ve lomber drenajın birlikte kullanımının yüksek riskli olgularda fistül kontrolünde daha etkili olduğunu göstermiştir.21-25 Bizim serimizde de en sık tercih edilen yaklaşımın bu kombinasyon olması, literatürle uyumlu bir cerrahi strateji benimsendiğini göstermektedir.
Rezidüel adenom nedeniyle uygulanan ek cerrahiler değerlendirildiğinde, endoskopik yaklaşımın çoğu olguda yeterli olduğu, ancak seçilmiş hastalarda transkranyal cerrahinin gerekli olduğu görülmüştür. Literatürde, özellikle lateral kavernöz sinüs invazyonu veya geniş suprasellar uzanımı olan lezyonlarda transkranyal yaklaşımın halen geçerli bir seçenek olduğu bildirilmektedir.7,26,27 Çalışmamızda transkranyal cerrahinin sınırlı sayıda olguda uygulanmış olması, primer endoskopik yaklaşımın etkinliğini desteklemektedir.
Postoperatif hematom, vasküler komplikasyonlar, enfeksiyon ve mortalite oranları literatürde bildirilen değerlerle karşılaştırıldığında kabul edilebilir düzeydedir. Büyük serilerde mortalite oranları genellikle %0-1 arasında bildirilmekte olup çalışmamızda saptanan %0,5’lik mortalite oranı bu verilerle uyumludur.28-31 Retrospektif tasarım ve uzun dönem endokrin sonuçların sınırlı olması çalışmanın başlıca kısıtlılıkları olmakla birlikte, geniş hasta sayısı ve ayrıntılı komplikasyon analizi, elde edilen bulguların klinik uygulamaya katkısını artırmaktadır.
Çalışmanın sınırlılıkları
Bu çalışmanın bazı kısıtlılıkları mevcuttur. Öncelikle çalışmanın retrospektif tasarımı, veri toplama sürecinde olası seçilim yanlılığına ve bazı klinik değişkenlerin eksik değerlendirilmesine yol açmış olabilir. İkinci olarak, çalışma tek merkezli olup, elde edilen sonuçların tüm hipofiz cerrahisi pratiğine genellenebilirliği sınırlı olabilir. Ayrıca, postoperatif uzun dönem endokrin ve fonksiyonel sonuçlar bu çalışmada sistematik olarak analiz edilmemiştir. Komplikasyonların büyük kısmı erken postoperatif döneme ait olup, geç dönem komplikasyonlara ilişkin veriler sınırlıdır. Son olarak, cerrahi teknikler ve rekonstrüksiyon yaklaşımları cerrah ve olgu özelliklerine göre değişkenlik göstermiştir; bu heterojenite, komplikasyon oranları üzerinde etkili olmuş olabilir.
Sonuç
Bu çalışma, 2018-2025 yılları arasında cerrahi olarak tedavi edilen geniş bir hipofiz lezyonu serisinin sonuçlarını ortaya koymaktadır. Bulgularımız, endoskopik transsfenoidal yaklaşımın hem fonksiyonel hem de non-fonksiyonel hipofiz adenomlarında kabul edilebilir morbidite ve düşük mortalite oranları ile etkili ve güvenli bir cerrahi yöntem olduğunu göstermektedir. Postoperatif diabetes insipidus ve BOS fistülü ile ilişkili rinore gibi komplikasyonlar nispeten sık görülmekle birlikte, olguların büyük çoğunluğunda geçici olmuş ve uygun cerrahi rekonstrüksiyon ile postoperatif yönetim sayesinde başarılı şekilde kontrol altına alınmıştır. Kalıcı komplikasyonların düşük oranlarda izlenmesi ve ek cerrahi gereksiniminin sınırlı kalması, bu yaklaşımın deneyimli merkezlerde güvenilir biçimde uygulanabileceğini desteklemektedir. Bu bulgular, hipofiz cerrahisinde tedavi algoritmalarının daha da iyileştirilmesi ve uzun dönem klinik ile endokrin sonuçların netleştirilmesi amacıyla, ileriye dönük ve çok merkezli çalışmaların planlanmasına zemin oluşturmaktadır.
Etik kurul onayı
Bu çalışma retrospektif bir tasarıma sahip olduğundan, insan katılımcılardan doğrudan veri toplanmamış ve müdahale gerçekleştirilmemiştir; bu nedenle etik kurul onayı alınmamıştır.
Yazarlık katkısı
Çalışma tasarımı ve kavramsallaştırma: HC, SÖ, VÖ; veri toplama: VÖ; sonuçların analizi ve yorumlanması: HC, SÖ, VÖ; aday makalenin hazırlanması: SÖ, VÖ. Yazar(lar) sonuçları gözden geçirmiş ve makalenin son halini onaylamıştır.
Finansman
Yazar(lar), çalışmanın herhangi bir finansal destek almadığını beyan etmiştir.
Çıkar çatışması
Yazar(lar) herhangi bir çıkar çatışması olmadığını beyan etmiştir.
Kaynakça
- Molitch ME. Diagnosis and treatment of pituitary adenomas: a review. JAMA 2017; 317: 516-524. https://doi.org/10.1001/jama.2016.19699
- Chavez-Herrera VR, Desai R, Gel G, Nilchian P, Schwartz TH. Endonasal endoscopic surgery for pituitary adenomas. Clin Neurol Neurosurg 2024; 237: 108172. https://doi.org/10.1016/j.clineuro.2024.108172
- Tritos NA, Miller KK. Diagnosis and management of pituitary adenomas: a review. JAMA 2023; 329: 1386-1398. https://doi.org/10.1001/jama.2023.5444
- Ezzat S, Asa SL, Couldwell WT, et al. The prevalence of pituitary adenomas: a systematic review. Cancer 2004; 101: 613-619. https://doi.org/10.1002/cncr.20412
- Agam MS, Zada G. Complications associated with transsphenoidal pituitary surgery: review of the literature. Neurosurgery 2018; 65: 69-73. https://doi.org/10.1093/neuros/nyy160
- Zhao J, Wang S, Zhao X, Cui H, Zou C. Risk factors of cerebrospinal fluid leakage after neuroendoscopic transsphenoidal pituitary adenoma resection: a systematic review and meta-analysis. Front Endocrinol (Lausanne) 2024; 14: 1263308. https://doi.org/10.3389/fendo.2023.1263308
- Guan X, Wang Y, Zhang C, et al. Surgical experience of transcranial approaches to large-to-giant pituitary adenomas in knosp grade 4. Front Endocrinol (Lausanne) 2022; 13: 857314. https://doi.org/10.3389/fendo.2022.857314
- Daly AF, Beckers A. The epidemiology of pituitary adenomas. Endocrinol Metab Clin North Am 2020; 49: 347-355. https://doi.org/10.1016/j.ecl.2020.04.002
- Mayson SE, Snyder PJ. Silent pituitary adenomas. Endocrinol Metab Clin North Am 2015; 44: 79-87. https://doi.org/10.1016/j.ecl.2014.11.001
- Chanson P, Wolf P. Clinically non-functioning pituitary adenomas. Presse Med 2021; 50: 104086. https://doi.org/10.1016/j.lpm.2021.104086
- Fountas A, Coulden A, Fernández-García S, Tsermoulas G, Allotey J, Karavitaki N. Central diabetes insipidus (vasopressin deficiency) after surgery for pituitary tumours: a systematic review and meta-analysis. Eur J Endocrinol 2024; 191: S1-S13. https://doi.org/10.1093/ejendo/lvae084
- Yu X, Xu G, Qiu P. Nomogram for predicting diabetes insipidus following endoscopic transsphenoidal surgery in pituitary adenomas. J Neuroendocrinol 2025; 37: e13475. https://doi.org/10.1111/jne.13475
- Angelousi A, Mytareli C, Xekouki P, et al. Diabetes insipidus secondary to sellar/parasellar lesions. J Neuroendocrinol 2021; 33: e12954. https://doi.org/10.1111/jne.12954
- Ma J, Gooderham P, Akagami R, Makarenko S. Correlation of pituitary descent and diabetes insipidus after transsphenoidal pituitary macroadenoma resection. Neurosurgery 2023; 92: 1269-1275. https://doi.org/10.1227/neu.0000000000002360
- Burke WT, Cote DJ, Penn DL, Iuliano S, McMillen K, Laws ER. Diabetes insipidus after endoscopic transsphenoidal surgery. Neurosurgery 2020; 87: 949-955. https://doi.org/10.1093/neuros/nyaa148
- Kadir ML, Islam MT, Hossain MM, Sultana S, Nasrin R, Hossain MM. Incidence of diabetes insipidus in postoperative period among the patients undergoing pituitary tumour surgery. Mymensingh Med J 2017; 26: 642-649.
- Wang M, Cai Y, Jiang Y, Peng Y. Risk factors impacting intra- and postoperative cerebrospinal fluid rhinorrhea on the endoscopic treatment of pituitary adenomas: a retrospective study of 250 patients. Medicine (Baltimore) 2021; 100: e27781. https://doi.org/10.1097/MD.0000000000027781
- Berker M, Hazer DB, Yücel T, et al. Complications of endoscopic surgery of the pituitary adenomas: analysis of 570 patients and review of the literature. Pituitary 2012; 15: 288-300. https://doi.org/10.1007/s11102-011-0368-2
- Locatelli M, Bertani G, Carrabba G, et al. The trans-sphenoidal resection of pituitary adenomas in elderly patients and surgical risk. Pituitary 2013; 16: 146-151. https://doi.org/10.1007/s11102-012-0390-z
- Zhang J, He Y, Ning Y, Bai R, Wang H. Risk factors and predictive model for postoperative cerebrospinal fluid leakage following endoscopic endonasal pituitary adenoma surgery: a retrospective study focusing on pneumocephalus and sellar floor bony window. Front Endocrinol (Lausanne) 2025; 16: 1695573. https://doi.org/10.3389/fendo.2025.1695573
- Xiang SW, Deng JC, Wen QQ. Risk factors of cerebrospinal-fluid leakage during endoscopic transsphenoidal pituitary-adenoma resection: a systematic review and meta-analysis. Asian J Surg 2024; 47: 1166-1169. https://doi.org/10.1016/j.asjsur.2023.11.010
- Mehta GU, Oldfield EH. Prevention of intraoperative cerebrospinal fluid leaks by lumbar cerebrospinal fluid drainage during surgery for pituitary macroadenomas. J Neurosurg 2012; 116: 1299-1303. https://doi.org/10.3171/2012.3.JNS112160
- Rabadán AT, Hernández D, Ruggeri CS. Pituitary tumors: our experience in the prevention of postoperative cerebrospinal fluid leaks after transsphenoidal surgery. J Neurooncol 2009; 93: 127-131. https://doi.org/10.1007/s11060-009-9858-8
- Çeltikçi E. Endoskopik transsfenoidal hipofiz cerrahisinde intraoperatif BOS drenajının post-operatif rinore üzerine etkisi. Pamukkale Medical Journal 2022; 15: 583-586. https://doi.org/10.31362/patd.1090580
- Mughal Z, Osuji J, Jonah S, et al. Outcomes of endoscopic management of spontaneous cerebrospinal fluid rhinorrhea: a meta-analysis. Laryngoscope 2025. https://doi.org/10.1002/lary.32428
- Luzzi S, Giotta Lucifero A, Rabski J, Kadri PAS, Al-Mefty O. The party wall: redefining the indications of transcranial approaches for giant pituitary adenomas in endoscopic era. Cancers (Basel) 2023; 15: 2235. https://doi.org/10.3390/cancers15082235
- Solari D, D’Avella E, Bove I, Cappabianca P, Cavallo LM. Extended endonasal approaches for pituitary adenomas. J Neurosurg Sci 2021; 65: 160-168. https://doi.org/10.23736/S0390-5616.20.05120-6
- Halvorsen H, Ramm-Pettersen J, Josefsen R, et al. Surgical complications after transsphenoidal microscopic and endoscopic surgery for pituitary adenoma: a consecutive series of 506 procedures. Acta Neurochir (Wien) 2014; 156: 441-449. https://doi.org/10.1007/s00701-013-1959-7
- Drexler R, Rotermund R, Smith TR, et al. Defining benchmark outcomes for transsphenoidal surgery of pituitary adenomas: a multicenter analysis. Eur J Endocrinol 2023; 189: 379-386. https://doi.org/10.1093/ejendo/lvad124
- Barzaghi LR, Losa M, Giovanelli M, Mortini P. Complications of transsphenoidal surgery in patients with pituitary adenoma: experience at a single centre. Acta Neurochir (Wien) 2007; 149: 877-85; discussion 885-6. https://doi.org/10.1007/s00701-007-1244-8
- Mortini P, Losa M, Barzaghi R, Boari N, Giovanelli M. Results of transsphenoidal surgery in a large series of patients with pituitary adenoma. Neurosurgery 2005; 56: 1222-33; discussion 1233. https://doi.org/10.1227/01.neu.0000159647.64275.9d
Telif hakkı ve lisans
Telif hakkı © 2025 Yazar(lar). Açık erişimli bu makale, orijinal çalışmaya uygun şekilde atıfta bulunulması koşuluyla, herhangi bir ortamda veya formatta sınırsız kullanım, dağıtım ve çoğaltmaya izin veren Creative Commons Attribution License (CC BY) altında dağıtılmıştır.
